Hizmetler
Diş Düzeni Düzeltme (Ortodonti)
Gazimuhtaarpaşadaki Diş Kliniğimzde Diş Düzeni düzeltiyoruz
Nasıl oluyor ?
Ortodonti
Halk dilinde diş düzeltme olarak da bilinen ortodonti; diş, çene ve yüz bozukluklarının tedavisinin yapıldığı diş hekimliğinin bir dalıdır.
Diş Teli
ortodontik tedavinin altında uygulanan kişinin diş yapısının düzeltilmesini amaçlayan yöntemdir.
Ortodontik tedavilerde yaş sınırı varmıdır ?
Ortodontik tedavilerde en uygun dönem 11-13 yaş dönemidir. Fakat iskelet sistemi ile ilgili bir problem yoksa düzensizlik sadece dişlerden kaynaklanıyorsa bunların tedavisi her yaşta yapılabilir. Erişkin hastalardaki iskeletsel düzensizlikler tek başına ortodontik tedavilerle düzeltilemez. Bu hastalarda ortognatik cerrahi dediğimiz yöntemlerle tedavi edilir.


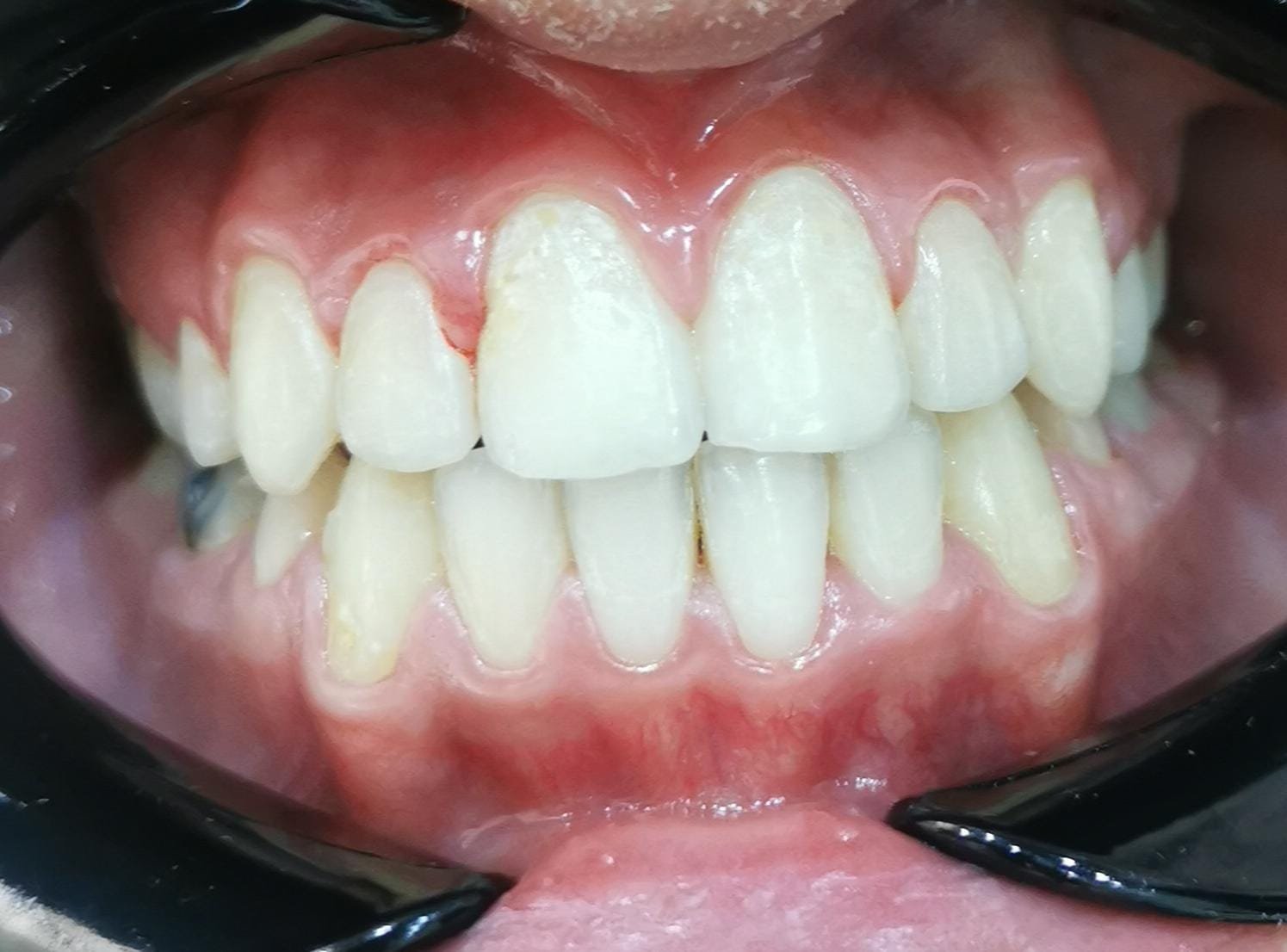
Önce
Sonra


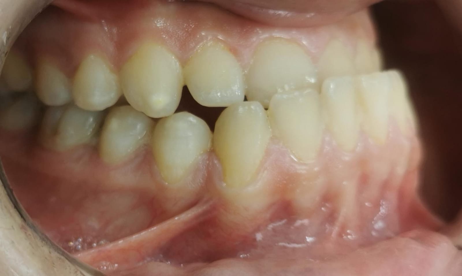
Önce
Sonra