Hizmetler

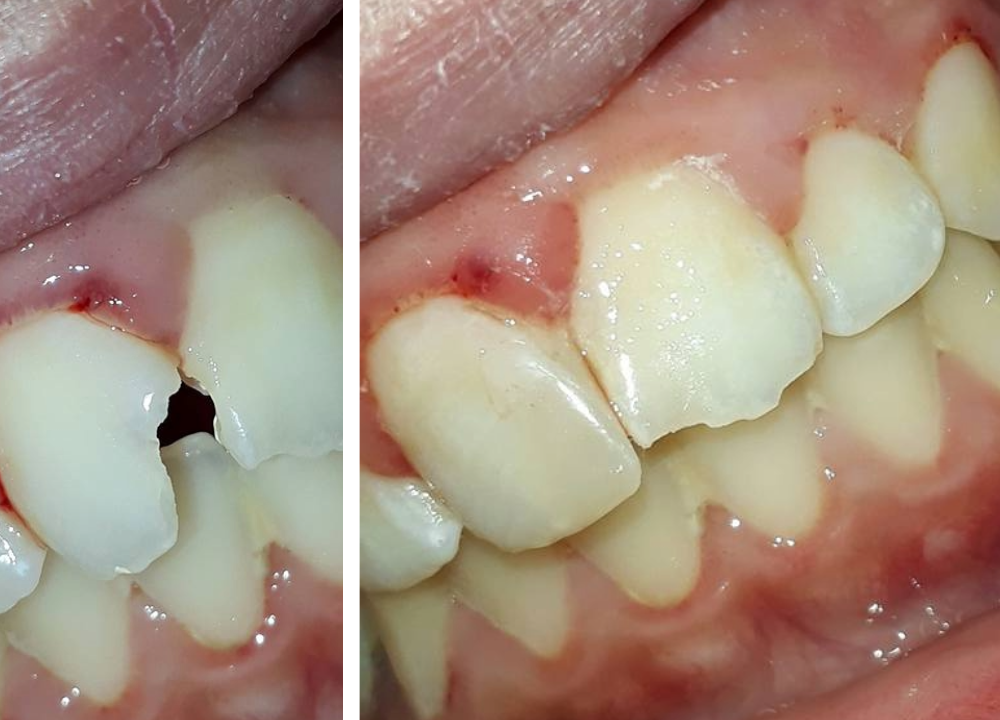
Diş Dolgusu

Nasıl oluyor ?

Diş Dolgusu :

Çürümüş, kırılmış ya da çatlamış olan dişlerin çeşitli materyallerle restore edilmesidir.

Sürecimiz

İlk aşama olarak kalan diş dokusu, dolgu için hazır hale getirilir. Bu aşamada çürüğün temizlenmesi yada daha önce yapılmış ve uzaklaştırılması gereken eski bir dolgu var ise kalan diş dokusu bunlardan arındırılır. Bu işlemden sonra, ikinci aşama olarak dişin ağız içindeki konumuna, fonksiyonuna, estetik gerekliliklere ve yapılan dolgunun büyüklüğüne göre uygun malzeme seçilerek oluşan boşluk doldurulur. Bu işlemler esnasında, hastanın ağrı hissetmeyeceği şekilde lokal anestezi uygulanabilir. Son aşama olarak, yapılan dolgunun diğer dişlerle uyumu kontrol edilir. Hastayı rahatsız edecek fazlalıklar var ise uzaklaştırılır.

Diş dolgusu kimlere yapılır?

Diş dolgusu çürümüş, kırılmış veya herhangi bir nedenden dolayı harabiyet görmüş dişlere uygulanmaktadır. Deforme olmuş dişlere, tedavi sonrası eski görünümü ve fonksiyonu kazandırılır.

Kırık Dişlerin Çözelim